Busiarz po Europie - wypadek w pracy

 

Busiarz po Europie - wypadek w pracy
Wypadek w pracy - Busiarz po Europie.

Wypadek w pracy - busiarz po Europie.


Złamałem nogę w Czechach - zarys sytuacji.

Miał być artykuł o pierwszym wyjeździe w trasę, a tu minęło pół roku i nic nie napisałem. Działo się w tej pierwszej trasie tak dużo, że nie sposób było wyciągnąć aparatu, a co dopiero o napisaniu kilku słów. Moja pierwsza trasa miała być tygodniowym wypadem - Austria i Czechy. W ostatnim dniu ładowałem się w Czechach, by z towarem wrócić już do Polski i do domku. Cała ta sytuacja była dziwna. Po załadowaniu auta, okazało się, że auto zostało przeładowane, tak dość solidnie, wyjaśniłem to z punktem ładunkowym i jakże się okazało, że był błąd na fakturze. Tak wszystko działo się szybkiej atmosferze, firma nie znalazła bałwana, który zabrałby wszystko naraz - trzeba było ściągnąć połowę towaru z auta. Zapiąłem towar pasami i ześlizgnąłem się z paki samochodu jakoś tak niefortunnie, że spadłem na posadzkę, łamiąc przy tym nogę. Leżąc na ziemi pamiętam widok wystającej kości, uwierzcie mi, wolałbym jej nie widzieć na wierzchu. Wyjąłem telefon z kieszeni spodni, pierwszy telefon wykonałem do żony - kochanie złamałem nogę, zadzwonię jak coś więcej będzie wiadome, drugi telefon do szefa - Marcin, spadłem z paki, złamałem nogę, karetka w drodze. Szczerze mówiąc, to chyba mój organizm wygenerował na tyle adrenaliny, że nie czułem żadnego bólu. Owszem próbowałem podnieść lekko nogę, ale jak spostrzegłem, że stopa bezwładnie opada, trzymając się jedynie na skórze, to zaniechałem dalszych prób. Sprawdziłem tylko czy mogę poruszyć palcem u nogi, taka myśl mnie przeszła, czy ścięgna i nerwy całe, palec na szczęście się poruszył w bucie. 

Przyjazd karetki

Karetka przyjechała bardzo szybko, medycy podeszli do mnie, popatrzyli i pokręcili głowami. Nie wyglądało to najlepiej. Postanowili by rozciąć buta i skarpetkę, oraz odkroić nogawkę spodni. Samo ściągnięcie buta pamiętam - było bolesne. Usztywnili mi stopę taką szyną stabilizacyjną i przenieśli mnie na nosze, a następnie do karetki. Z tego wszystkiego wszystkie żyły mi się pochowały, także wkłuto się dopiero za siódmym podejściem. W karetce dopiero dopadły mnie takie jakby drgawki z zimna, choć był to sierpień. Udało mi się jeszcze dogadać z kimś z firmy, żeby z auta wyciągnąć kilka najważniejszych rzeczy, podać klucze, by auto przestawili w bezpieczne miejsce. Karetką do szpitala jechało się około 20 min. 

Szpital w Czechach

Gdy dojechaliśmy do szpitala, pierwszym pytaniem było, czy jestem ubezpieczony, oraz numer ubezpieczenia, jak by to było ważniejsze od mojej nogi. Ubezpieczony byłem, ale na numer się czeka miesiąc czasu, a ja miałem wypadek dnia 5. Dobrze, że język czeski jest na tyle podobny do naszego ojczystego, że jakoś się dogadałem. Ku mojemu zdziwieniu, w szpitalu czeskim, 70 km za Pilznem, pracował polski pielęgniarz, który jak się okazało jest też szpitalnym księdzem. Co za zbieg okoliczności. W szpitalu na dzień dobry zrobiono mi kilka zdjęć, lekarz naciągnął nogę by kość się schowała, oraz jednym szwem zaszył dziurę. Obłożył gazikami i powiedział, że jutro operacja. Pięknie pomyślałem. Nie zdawałem sobie sprawy z tego, jak źle to wyglądało. Dostałem kroplówek kilka i odwieźli mnie do sali. Sala była dwu łóżkowa, byłem sam, na szczęście przy oknie. Telewizor na ścianie, pilot, bez żadnych monet, czy żetonów, toaleta z prysznicem w pokoju. Emocji wiele jak na jeden wieczór. W jednej krótkiej chwili, może cały świat planów się zawalić. Tej nocy nie zmrużyłem oka, nie chodziło o ból, bo prawie go nie odczuwałem, jedynie ten mętlik myśli, co będzie dalej. 

Pierwsza operacja

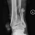
Następnego dnia zaczął się ruch o 6 rano, pierw salowe - poranna higiena, zmiana pościeli.  Jak się okazało pościel zmieniali codziennie rano, a w szpitalu przeleżałem równiutki miesiąc. O 8 wizyta lekarzy, taka grupa z ordynatorem, krótka rozmowa, dobrze że lekarze i ordynator dobrze mówili po angielsku. Operacje przygotowują na południe, teraz seria badań. Pierw zabrano mnie na tomograf, później do lekarza od serca, skoro operacja to i narkoza, trzeba sprawdzić EKG i wywiad. Z EKG prosto na sale operacyjną. Jak się dowiedziałem po operacji, ściągali do mnie chirurga z Pragi, jakiegoś specjalistę od trudnych złamań, jak szukałem w Internecie zaliczał się do pierwszej trójki najlepszych chirurgów w Czechach. Operacja trwała trzy godziny. Dostałem blokadę w kręgosłup, a na sali zostałem uśpiony. Z najnieprzyjemniejszych odczuć w czasie operacji to przebudzenie się podczas niej. Dosłownie odzyskałem świadomość podczas operacji, po prawej mojej stronie monitor z rentgenem, hałas wkrętarki i drżenie i szarpanie nogi, na ekranie widać jak wiertło przewierca kość. Trwało to chwilkę, jak tylko zobaczyli, że mam otwarte oczy i ruszam głową, to od razu mnie uśpili dalej, jednak na same wspomnienie, wolał bym tego nie widzieć. Po całej operacji ocknąłem się w chwili jak zaczęli ściągać te wszystkie materiały, co mnie odgradzały od chirurgów. Okazało się, że dostałem zespolenie zewnętrzne.
zespolenie zewnętrzne po złamaniu trójkostnym
Wygląd nogi po pierwszej operacji



 Oj jakie to nieprzyjemne, widzieć jakieś pręty wystające z nogi, połączone śrubami, taka konstrukcja. Już byłem w pełni świadomy zawijania nogi w bandaż, odwożenia do sali. Po kilku chwilach, podłączono mnie do nowych kroplówek, antybiotyk i przeciwbólowe. Przez cały czas jedna pielęgniarka była na sali, zmieniały się, ale cały czas do późnego wieczora ktoś przy mnie był. Na początku sobie myślałem, że może jakieś inne traktowanie obcokrajowca, ale jednak tak jest u nich, kiedy miałem sąsiada na sali to po operacji było tak samo, ktoś cały czas czuwał nad nim. Przypomniał mi się obraz, jak mój tata miał operację i żeby mama mogła przy nim być przez pierwszą noc jako że jest  pielęgniarką, musiała zapłacić dwieście złotych. Tego wieczoru dostałem herbatę i lekką kolację. Dobra dieta w szpitalu, dostawałem bardzo dużo serów, sałaty i ogórków, urozmaicone i smaczne. W nocy też nie mogłem za bardzo spać, czułem takie ściąganie w nodze, musiałem ją trzymać wyżej, niewygodnie, poza tym zawsze śpię na boku, a tu trzeba się było wyspać na plecach, ciężka noc. Na szczęście jakoś ta noc przeleciała szybko, jeszcze w nocy kilka razy zaglądała pielęgniarka, a to zmierzyć ciśnienie, a to temperaturę, a to zmienić kroplówkę, o 6 już salowe z pomocą do porannej higieny, zmiana pościeli, obchód lekarzy, wywiady, śniadanko i tak do 10 zleciało. Dużo rozmawiałem z Jingke, z rodzicami. Chyba bardziej ja ich uspokajałem, niż oni mnie wspierali. Co się stało, się nie odstanie, a w jednej chwili wszystko stanęło do góry nogami. 
Zmiany opatrunków odbywały się przed obchodem, a czasem sam ordynator sprawdzał i kazał odwijać by samemu spojrzeć jak się wszystko goi. 

Zakażenie 

Po kilku dniach od operacji, na ranie z której wyszła kość pojawiła się infekcja. To taki żółty bąbel z płynem. Tego dnia pobrano mi krew do badania, z jakimi bakteriami mamy do czynienia i jaki antybiotyk trzeba podać. Myślę, że reakcja była natychmiastowa. Dostałem nowe kroplówki na trzy dni. Co dwa dni zmieniali mi wenflon, kroplówki które dostawałem były bardzo gęste i śmierdzące, ale pomagały, bo sama infekcja cofnęła się po trzech dniach. Opatrunki zmieniali mi dwa razy dziennie, a chirurg, który mnie operował przybywał z Pragi co trzy dni. Sam odwijał bandaże i sprawdzał, jak to wszystko się goi, patrząc na zdjęcia kontrolne i wyniki badań. I tak minęło dwa tygodnie od pierwszej operacji.

W oczekiwaniu na drugą operację

Te dwa tygodnie mijały dość szybko, powstała taka swego rodzaju rutyna. W nocy kilka razy pobudka na sprawdzanie ciśnienia, temperatury, o 6 rano higiena, zmiana prześcieradła, obchód lekarzy, zmiana opatrunków, śniadanko. Za drzwiami od mojego pokoju znajdował się automat z przepyszną kawą, która kosztowała całe 15 koron, a i pielęgniarki często przynosiły mi kawkę ze swojej kawiarki z przepiękną pianką.

Kawusia szpitalna
Taką kawusię przynosiły mi pielęgniarki.


Na parterze znajdował się taki mały sklepik, gdzie mogłem sobie kupować wodę mineralną, czy jakąś słodką bułkę by sobie uzupełniać cukier :) W tym okresie bardzo zaprzyjaźniłem się z księdzem, który odwiedzał mnie dość często. Jak się okazało to Czesi wcale nie są tacy katolicy, jak myślałem. Na kilka tysięcy mieszkańców w niedziele na sumę przychodziło 20 osób. By móc się utrzymać na parafii, po prostu musiał iść do pracy i tak właśnie został pielęgniarzem. Dzięki temu miałem polskie towarzystwo i pomoc czasami w tłumaczeniu. Jak lekarze i chirurdzy dobrze mówili po angielsku, tak personel ni w ząb. 
Kilka dni po operacji odwiedził mnie też mój szef z rzeczami, które zabrał od żony i rodziców. Bardzo to było miłe z jego strony, poza tym często dzwonił, dopytywał się, załatwiał wszystkie papiery które były potrzebne. Tak samo też dzwoniły do mnie dziewczyny spedytorki, Naprawdę czułem się pewnie, wiedząc, że jest wiele obcych mi osób dobrze mi życzących. 
Dostałem " ambonkę " do poruszania się, to taka konstrukcja na czterech kółkach z uchwytami na ręce i podparciem na łokcie. 

" Ambonka " dzięki której mogłem się poruszać
" Ambonka " dzięki której mogłem się poruszać.


Dzięki " ambonce " mogłem sobie doczłapać do sklepiku, zakupić kawę w automacie i wyjść sobie przed szpital, pooddychać świeżym powietrzem. Z okna szpitalnego miałem ładny widok na wschód i zachód Słońca, oraz w nocy często świecił mi Księżyc. 

Takie wschody Słońca mi towarzyszyły co dziennie
Wschód Słońca ze szpitalnego okna.


Rehabilitacja była przynajmniej wesoła. Przychodziły do mnie dwie panie, które przyniosły mi kule i uczyły mnie jak się skacze na jednej nodze, uczyły mnie chodzić po schodach. W ramach praktyki skakania chodziliśmy co dziennie do sklepiku na kawę, śmiejąc się całą drogę, często zastanawiając się co znaczy jakieś słowo, które było dwuznaczne :) W tym czasie zaprzyjaźniłem się z wieloma osobami z personelu, oraz pacjentami, którzy często odwiedzali mnie na kawę, często skakałem z nimi na ławeczkę przed szpital. Jakoś ten czas leciał. 

Ławeczka przed szpitalem
Ławeczka przed szpitalem.


Miałem taki patent na prysznic, pakowałem nogę w worek i szczelnie ją owijałem taśmą, aby woda nie dostała się do środka, a do prysznica wkładałem krzesełko. Takim sposobem mogłem spokojnie się wykąpać, jeśli chodzi o mycie twarzy i ząbki to patentem było podstawienie krzesełka przy zlewie, tak sobie mogłem klęknąć lewą nogą na krzesełku a prawą stałem obok. Inaczej stanie tylko na jednej nodze stawało się niemożliwe dłużej niż kilka minut. Natomiast drogę do łazienki pokonywałem używając " ambonki ", kule raz mi się poślizgnęły na mokrej podłodze i prawie się wywróciłem. 
W tym czasie miałem też fajnych sąsiadów, z którymi uśmiałem się bardzo. Szczególnie pamiętam jednego kawalarza. Przyszedł do szpitala z wyrostkiem, a samo przyjęcie go na oddział już było komediowe. Na pytanie pielęgniarki, czy jest na coś uczulony - w odpowiedzi padło, że na ciężką pracę, a na pytanie - czy przyjmuje jakieś leki - odpowiedzią było - jedno piwo dziennie. Wydaje mi się, że Czesi są weseli i często się uśmiechają, nie odczułem żadnej nieprzychylności co do mojej osoby. Wspomnieć muszę o jeszcze jednym sąsiedzie, który trafił do szpitala po fikołku na rowerze. Starszy gość poobdzierany cały. Cały czas narzekał, że wszystko go boli, pił wodę przez słomkę i cały czas wołał pielęgniarkę, aby podała mu coś na boleści. Tak było do czasu, gdy odwiedziła go żona, w momencie pojawienia się jej w drzwiach, starszy pan stał się największym siłaczem na ziemi, mówiąc do żony, że nic mu nie jest, nic go nie boli, że nie wie po co w ogóle trafił do tego szpitala, ustawiając przy tym żonę do pionu. Jak tylko wyszła, pierwsze co zrobił starszy pan, to wezwał pielęgniarkę, by podała mu środki przeciwbólowe, mając przy tym minę jak by zaraz miał ducha z bólu wyzionąć. 
Był też fajny pacjent z pokoju obok, z którym dość się zaprzyjaźniłem. Jego problemem był woreczek żółciowy, w szpitalu spędził kilka dni. Po opuszczeniu szpitala przychodził mnie odwiedzać. Całkiem dobrze mówił po Polsku, miał żonę Polkę. 
Gdy infekcja się cofnęła, operacja która się odkładała w czasie, w końcu miała mieć miejsce. 

Druga operacja

Przygotowania do drugiej operacji rozpoczęły się dzień wcześniej, podłączeniem mnie pod kroplówkę, oraz zakazem picia i jedzenia od dwudziestej trzeciej. Rankiem dodatkowe badania, pobrana krew i następna butla do żyły. Na salę zabrano mnie około 13, o ile dobrze pamiętam. Tym razem było troszkę inaczej, najpierw podano mi blokadę w kręgosłup, a dopiero mnie uśpili. Uwierzcie mi to bardzo dziwne uczucie, nieprzyjemne, gdy czujecie jak drętwieją wam nogi i tracicie w nich czucie. Samo nakłucie w kręgosłup jest bezbolesne. Druga operacja trwała też około trzech godzin. W obietnicy miałem usunięcie tej konstrukcji, która bardzo przeszkadzała, już nie wspominając ile razy zahaczyłem palcami prawej nogi o te pręty, czasem budziłem się w nocy z bólu prawego małego palca, którym kopnąłem w konstrukcję. 
Tak samo jak wcześniej, obudzili mnie jeszcze w trakcie gipsowania nogi, jeszcze na sali operacyjnej. Moim oczom ukazała się noga bez konstrukcji, jaka ulga. Gdy przewieźli mnie do mojego pokoju, przyszedł chirurg, informując mnie, że operacja udana, jestem bogatszy o dwie blachy i szesnaście śrubek. Teraz czeka mnie długa rehabilitacja. 
Tego wieczoru nie zdołałem usnąć z bólu, pomimo kroplówek z antybiotykiem i środkami na boleści. Czułem takie ściąganie, jak by nie moja noga od kolana w dół. Miałem takie uczucie, jak by sama bezwiednie się poruszała, jak by skurcze, naprawdę dziwne i nieprzyjemne uczucie.  Zasnąłem dopiero po śniadaniu następnego dnia. Gdy obudziłem się na obiad, te nieprzyjemne uczucia przestały mnie nawiedzać. 

Dochodzenie do siebie po operacji

Gips musiał być rozkrojony do zmiany opatrunków i takim to sposobem miałem taką muszelkę na nodze, owiniętą bandażem elastycznym. Poruszanie stało się wygodniejsze, już nie kopałem się w tą konstrukcję. Minusem tego było tylko waga gipsu, konstrukcja była lżejsza. Po tej drugiej operacji zaczęła mi bardziej puchnąc stopa. Wcześniej jak miałem konstrukcję, to gdy opuściłem nogę, to po prostu kapało mi z pięty, gdzie był ten wystający pręt. Potrafiłem dość sporo nakapać w czasie samego jedzenia obiadu, teraz gdy nie było żadnej dziury, te płyny po prostu zbierały się pod skórą. Stopę miałem prawie dwa razy większą od prawej. Na trzeci dzień już było dobrze, na tyle dobrze, że wieczorem oglądając film, w przerwie na reklamy po prostu wstałem z łóżka i prawie się wywróciłem. Nic mnie nie zabolało, jedyne co to jak bym stanął na piłce, przechyliłem się i dobrze, że złapałem się łóżka. Sąsiad się wystraszył, krzyknął - co ty robisz, a ja zbladłem, ze strachu że coś się tam mogło poruszyć. " Skoczyłem " z " ambonką " na korytarz blady jak ściana, mówię pielęgniarce, że stanąłem na nodze. W chwili był u mnie lekarz, mówiąc że nic się powinno stać, bo gips i blachy, ale rano zleci kontrolne zdjęcie RTG. Tak jak powiedział tak się i stało, już o siódmej rano zabrali mnie na zdjęcie, tak by na obchód lekarzy wszystko było wyjaśnione. Naprawdę opieka i podejście do pacjenta w Czechach jest na wysokim poziomie. Na czwarty dzień od drugiej operacji przestałem potrzebować jakichkolwiek leków na boleści, a czas w szpitalu zaczął mi się bardzo dłużyć. Pogoda zaczęła się pogarszać, często padało, jedyną rozrywką były odwiedziny księdza, czy jakiegoś pacjenta. Wtedy zawsze przynosili mi dobrą kawę z kawiarni, ta z automatu bardzo mi się znudziła, dobra była, jednak miała taki specyficzny smak automatu kawowego. Taka świeża aromatyczna z kawiarni to jak święta dla mnie. Coraz lepiej poruszałem się też o kulach, już nie musiałem zabierać wszędzie " ambonki ". Czas mijał a ja czułem się coraz lepiej, w szpitalu spędziłem równiutki miesiąc. W następnym artykule opiszę wam mój powrót do Polski, oraz pierwsze zderzenie się inną rzeczywistością. 

Tu jeszcze wielkie podziękowania dla księdza Wojciecha.

Kwiaty w donicach
Duże kwiaty w donicach, było ich w szpitalu wiele.


0 Komentarze